Back to Projects List
PyRadiomics Models
Key Investigators
1 Department of Radiation Oncology, Dana-Farber Cancer Institute, Brigham and Women’s Hospital, Harvard Medical School, Boston, MA, USA.
2 Department of Radiology, Brigham and Women’s Hospital, Harvard Medical School, Boston, MA, USA.
3 Department of Radiology, Netherlands Cancer Institute, Amsterdam, The Netherlands.
4GROW-School for Oncology and Developmental Biology, Maastricht University Medical Center, Maastricht, The Netherlands.
5 Kitware, Inc.
6 Isomics, Inc.
Project Description
Objective
- Develop framework to easily apply and share radiomic models using PyRadiomics and it’s 3D slicer extension SlicerRadiomics.
- In addition to the current lesion-based extraction, add a voxel-based extraction.
- Update the SlicerRadiomics extension to accept the PyRadiomics parameter files.
Approach and Plan
Objective #1
- Develop configuration file to store a radiomic model.
- Add a pyradiomics module or a separate github python repository that can read/write the config file and use radiomics to apply it.
- Add commandline interface to use new functionality.
- Develop new Slicer module to interface with this new pyradiomics module to make this new functionality directly available in slicer.
Objective #2
- Update radiomics base module to allow voxel-based extraction
- Add new feature extractor module to provide interface for voxel-based extraction
- Add Commandline interface for voxel based extraction
- Add examples (settings, usage) to show new functionality
Objective #3
- Update the SlicerRadiomics widget to have a toggle button for manual customization (UI elements in Slicer) or parameter file customization (path line edit to select file)
- Update the SlicerRadiomics logic to allow an extraction using the parameter file customization
- Add a test to SlicerRadiomicsTest to test this new functionality
Progress and Next Steps
Objective #1
Related PR
- Designed a model definition configuration file and validation schemas
TODO:
- Implement functionality to apply models
- Add several model types (e.g. linear regression, logistic regression)
Objective #2
Related PR
- Added voxel based extraction functionality
- Updated current feature extractor module to optionally allow voxel based extraction
- Added examples to show new functionality
TODO:
- Add commandline interface
Objective #3
Related PR
- Update widget
- Update Logic
- Update Test
Illustrations
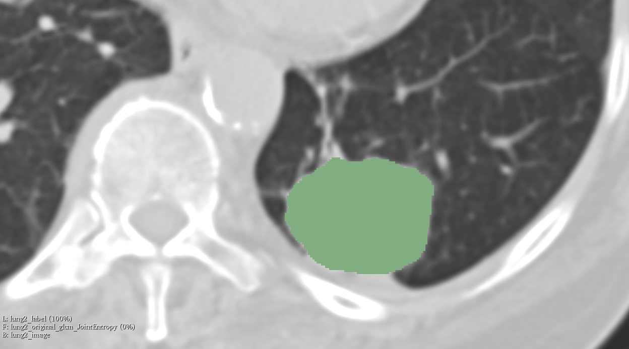
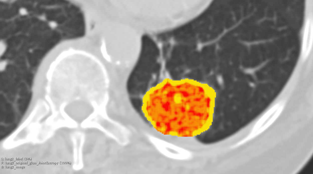
Objective #2


Objective #3


Background and References
Other related references:
- Image biomarker standardisation initiative: https://arxiv.org/abs/1612.07003
- Radiomics Ontology: http://www.radiomics.org/RO/01000, http://bioportal.bioontology.org/ontologies/RO