NA-MIC Project WeeksBack to Projects List
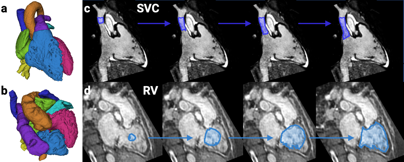
We are working on segmenting the cardiac chambers and great vessels from 3D MRI, for patients with congenital heart disease. The aim is to enhance surgical planning via rendered or 3D-printed heart models.
We have previously developed a recurrent neural network (RNN) model that evolves a segmentation of each structure over time, and shown that it is more generalizable to severe CHD defects than conventional models that segment the image in one step.

Iterative segmentation from limited training data: Applications to congenital heart disease
D.F. Pace, A.V. Dalca, T. Brosch, T. Geva, A.J. Powell, J. Weese, M.H. Moghari, P. Golland MICCAI Workshop on Deep Learning in Medical Image Analysis, 2018